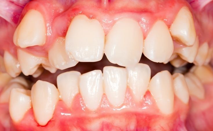
Apa Itu Gigi Supernumerary?

Orang dewasa mempunyai 32 gigi tetap, sedangkan anak-anak mempunyai 20 gigi susu . Meskipun jarang, gigi tambahan dapat tumbuh di dalam mulut suatu kondisi yang dikenal sebagai hyperdontia; gigi tambahan itu sendiri disebut gigi supernumerary. Gigi ini, yang terjadi pada 0,15 hingga 4 persen populasi, dapat muncul pada siapa saja, namun lebih sering dikaitkan dengan orang yang […]
